凤凰新闻社

文章标题:​井陉县医院垂体瘤切除技术再创新高

添加时间:2021-08-10 15:50:39

井陉县医院垂体瘤切除技术再创新高

凤凰新闻社讯【记者 李战生】


微信图片_20210810154523.jpg

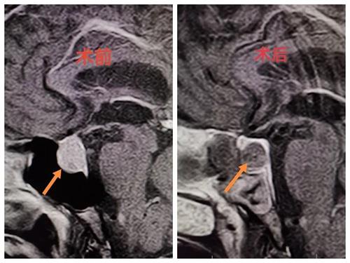
      日前,井陉县医院外一科成功完成一例神经内镜下经鼻蝶垂体瘤切除术。此手术应用目前最先进的假包膜外切除技术,术后内分泌指标达到治愈级水平,标志着我院垂体瘤手术技术取得新的突破。

      患者李大叔因阵发性心悸、胸闷4年,加重5天入住医院心内科,查体可见典型的肢端肥大面容,查生长激素水平明显高于正常水平,经核磁共振检查,确诊为生长激素垂体腺瘤,后转入外一科。经外一科武利峰主任带领医护团队综合评估和充分讨论,决定为大叔实施神经内镜下经鼻蝶入路垂体瘤切除术,在麻醉科和手术室积极配合下,手术精准、细致并成功完成。


微信图片_20210810154547.jpg微信图片_20210810154555.jpg

      术后复查增强MR见瘤体完整切除,复查生长激素水平达到治愈级水平。李大叔心悸,胸闷气短症状明显好转,3天后便下地活动。

      垂体瘤是颅内最常见的肿瘤之一,约占颅内肿瘤10%,近年来有增多的趋势。武利峰主任提醒:生长激素垂体腺瘤在成人发病称为肢端肥大症。若出现鼻子大、嘴唇后、颧弓高、手指变粗、脚大、皮肤粗糙、多汗等症状,并伴有头痛、视力障碍、血糖增高、血脂增高、冠心病、心力衰竭、睡觉打鼾等病症时,要提高警惕,需及时到医院做针对性检查。

      我院外一科神经外科专业组配备徕卡高端手术显微镜、飞利浦大型脑血管造影机、日本光电神经电生理仪,可以完成各种脑出血、脑外伤的外科治疗,脑动脉瘤的开颅夹闭和介入栓塞,脑膜瘤、脑胶质瘤、听神经瘤、颅咽管瘤、海绵状血管瘤等颅内肿瘤的外科切除,脑积水的分流手术,三叉神经痛和面肌痉挛的手术治疗,出血性和缺血性脑血管病的介入治疗。

健康咨询热线:外一科主任办公室0311-82042922   武利峰主任13832341827

井陉县医院

急救电话:82036120




微信图片_20210810154609.jpg


责任编辑 檄文